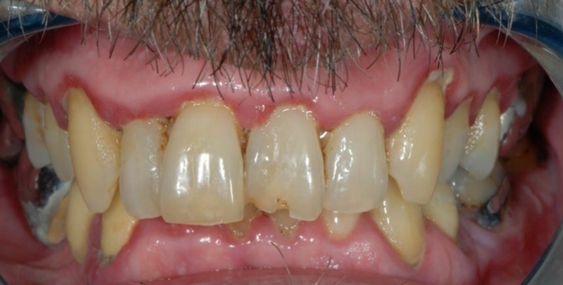
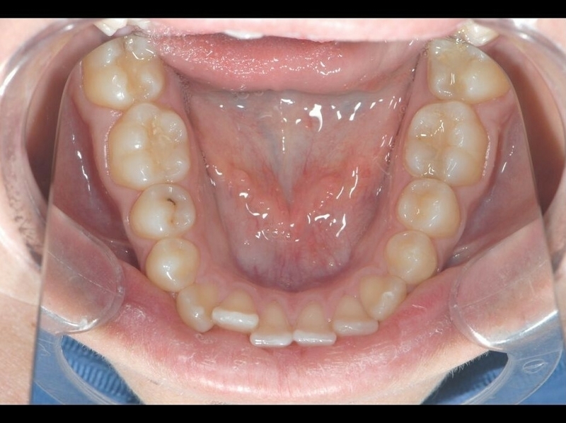
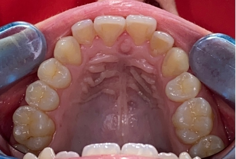
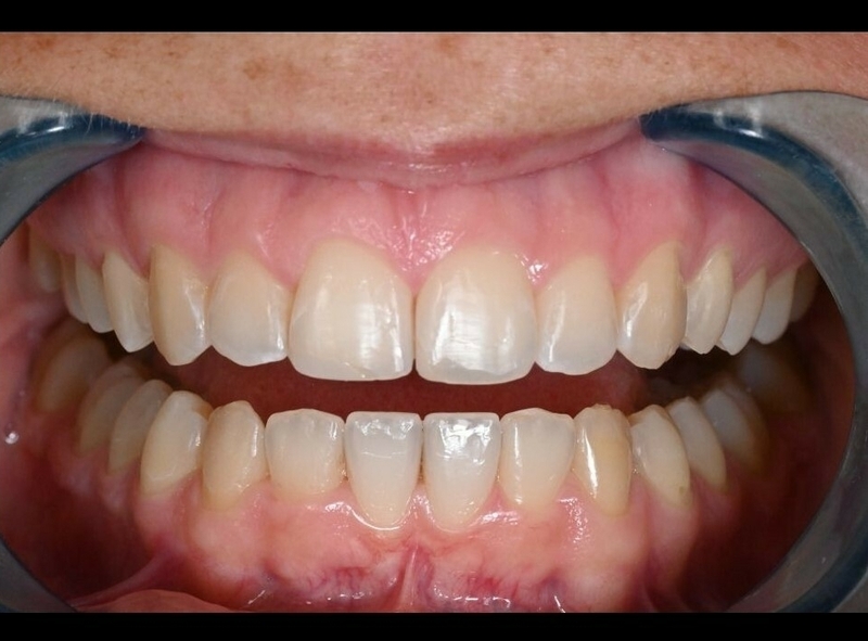
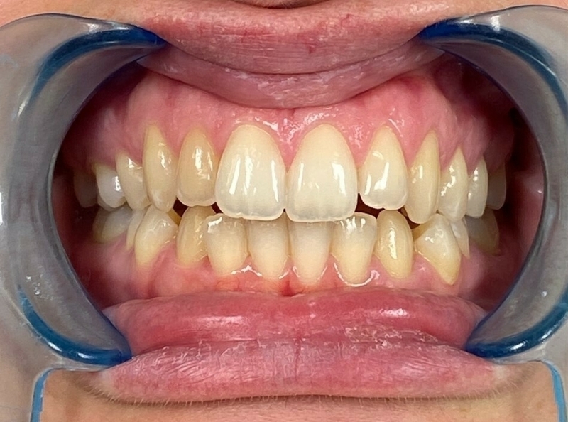
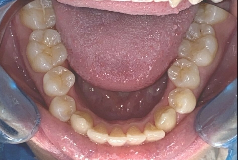
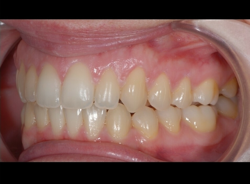
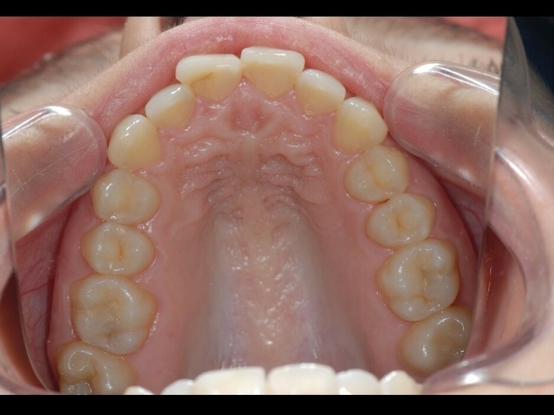
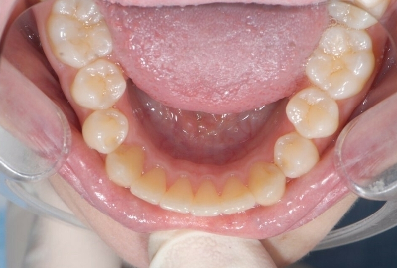
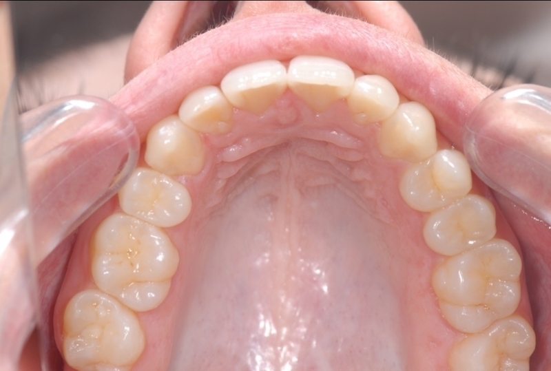
Cas clinique
Cas 1 - Orthodontie par aligneurs invisibles
Avant
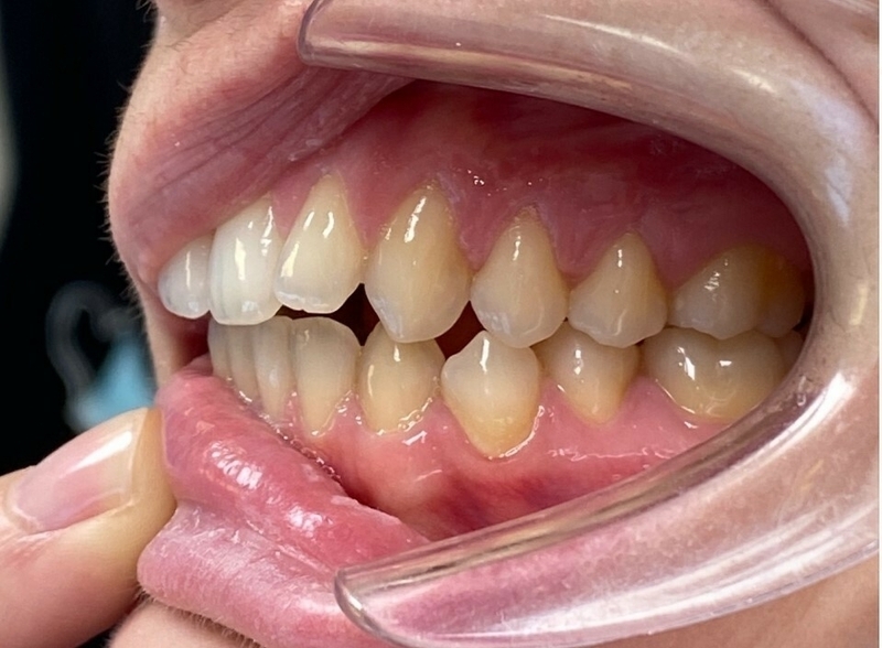
Après
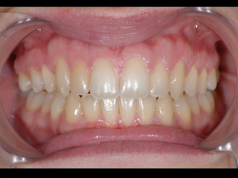
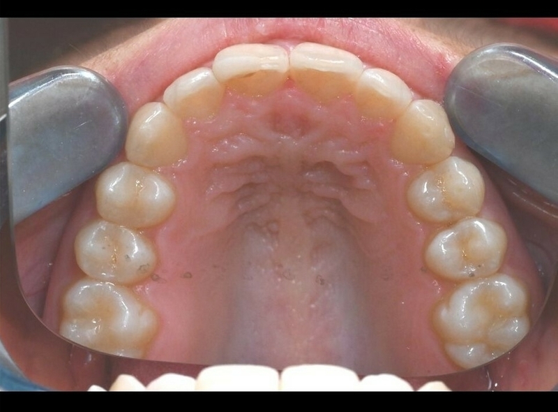
Avant
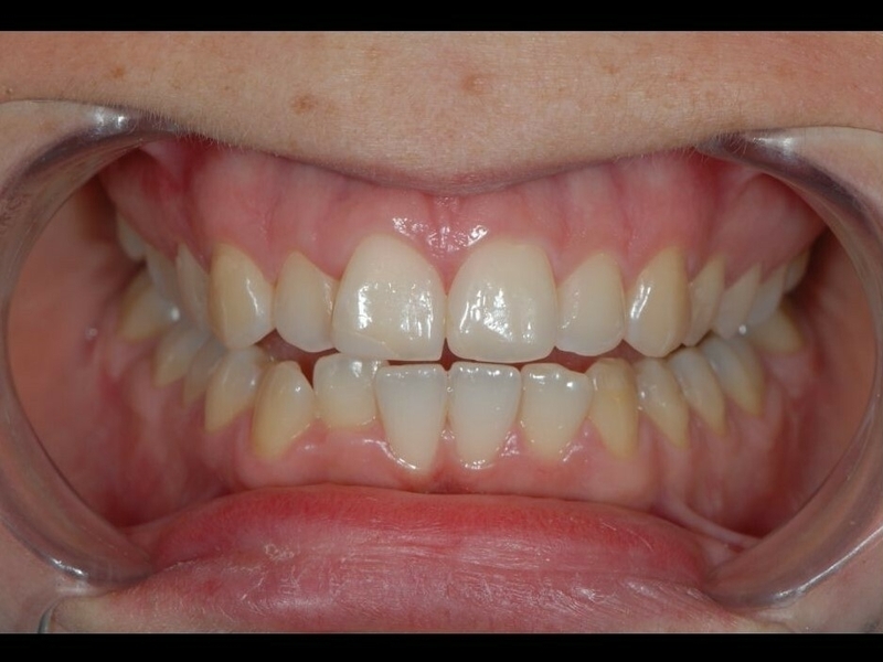
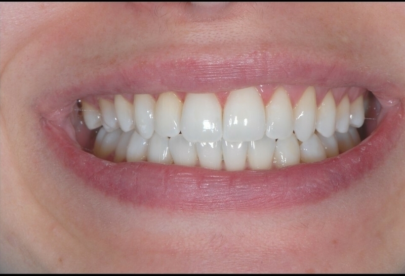
Après
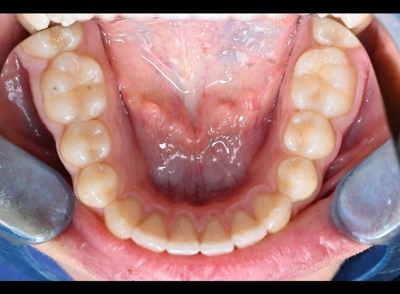
Avant
Après
Avant
Après
Cas 2 - Orthodontie par aligneurs invisibles
Avant
Après
Avant
Après
Avant
Après
Cas 1 - Blanchiment dentaire
Avant
Après
Cas 2 - Blanchiment dentaire
Avant
Après
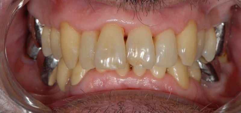
Cas 1 - Parodontie
Avant
Après

